Description
| SKU# | Organ | Pathology Diagnosis | Gender | Age | Grade | TMN | Thickness | IHC Tested |
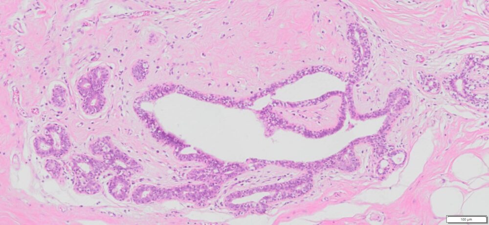
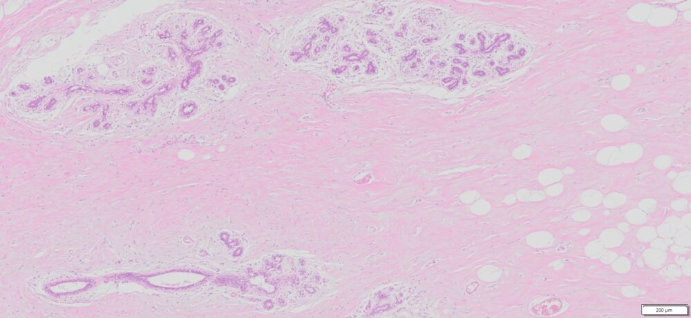
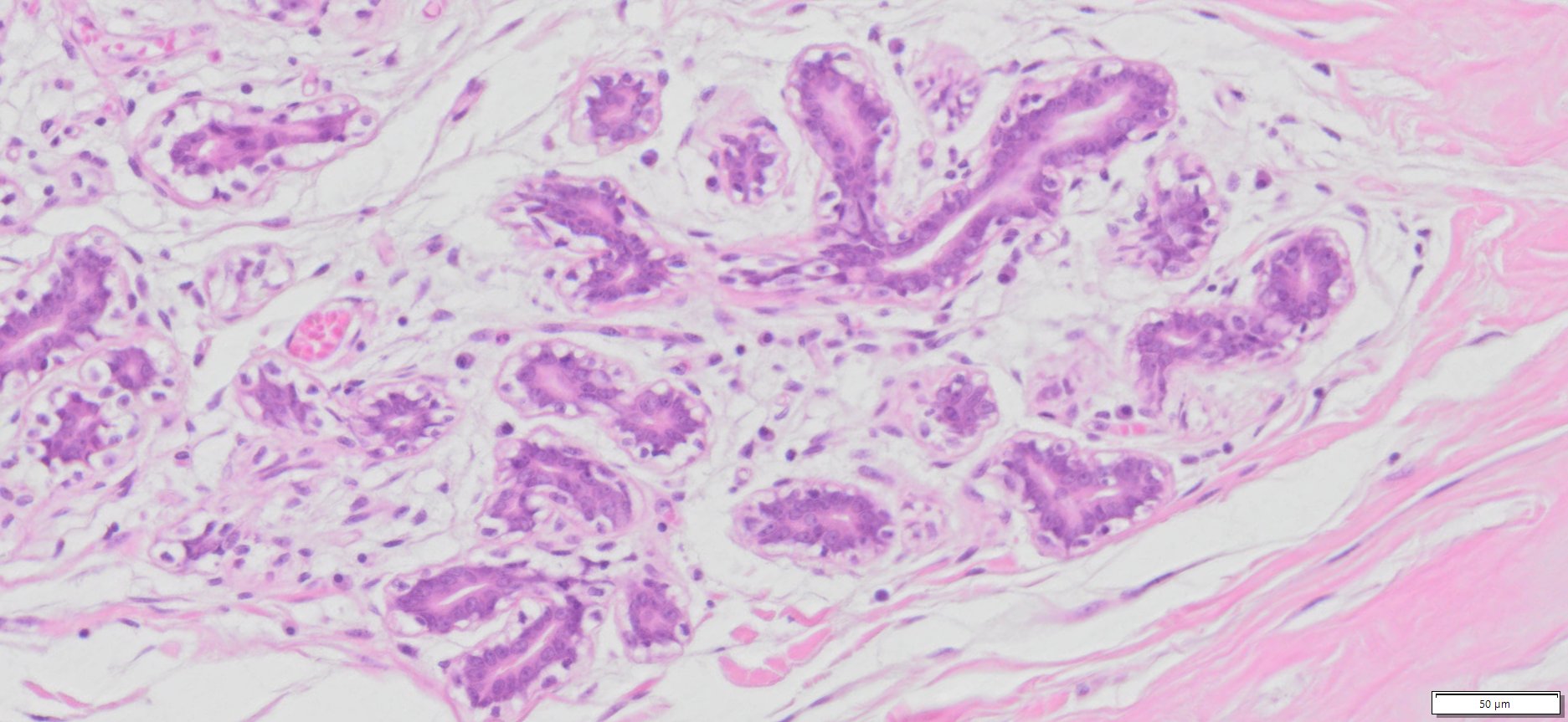
| HuPS-02006A | Human Breast | Normal breast tissue | Female | 75 | — | — | 5um |
Slide Preparation
Human tissue was fixed in formalin immediately after excision and embedded in paraffin. The tissue sections were 5 µm in thickness and mounted each on positively charged glass slides.
Sections/slide
1 section on each slide
Slides/Package
5 slides per package
Applications
Histology stain, IHC/IF, FISH and ISH
Storage Condition
Store at room temperature for short time, Store at 2-8ºC for longer term.
More Images











