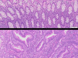
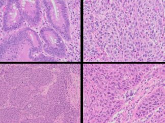
Human FFPE Tissues Sections
Our human formalin-fixed, paraffin-embedded (FFPE) tissue sections are fixed in formalin for less than 48 hours before being processed and sectioned. Each slide contains two tissue sections, each 5 µm thick, mounted on a positively charged glass slide. These FFPE tissue sections are ideal for immunostaining detection, including IHC and IF, as well as FISH or ISH applications.
Some FFPE sample slides are available for online ordering. Additional FFPE samples, not listed online, are also available. For inquiries and pricing, please contact info@vitrovivo.com.
Human FFPE Tissue Sample list (click for detailed information)
