Description
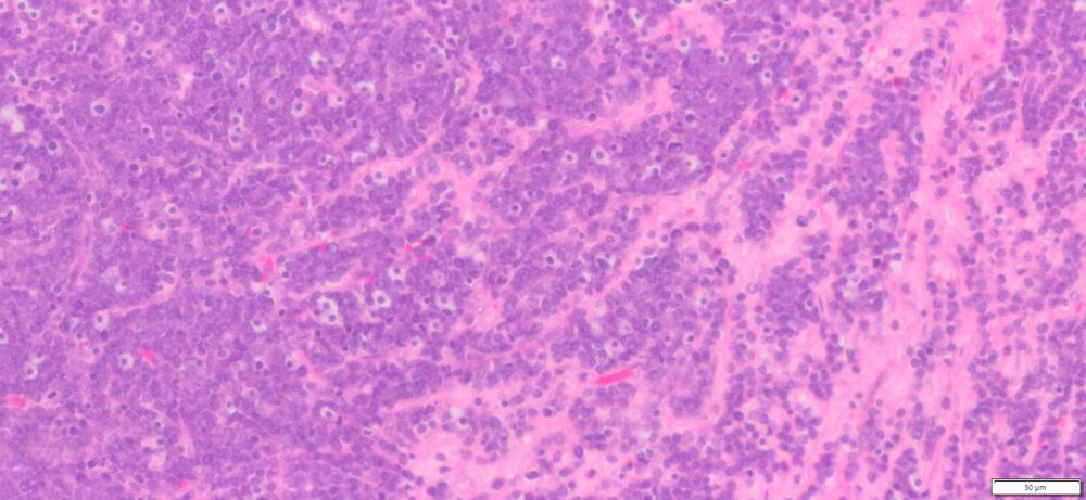
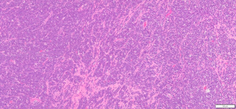
| Tissue | Pathology Diagnosis | Gender/ Age (year) | %Tumor Area | Tumor Grade | TMN/Stage | IHC data |
| HumanOvary | Human Ovary B-Lymphoblastic leukemia (ALL) | Male/19 | 90% | N/A | N/A | Diffusely (+): PAX-5,CD10, TdT
Weak (+) : CD79,CD34 and CD45 Neg: CD20,CD3 and MPO |
Slide Preparation
Human tissue was fixed in formalin immediately after excision and embedded in paraffin. The tissue sections were 5 µm in thickness and mounted each on positively charged glass slides.
Sections/slide
1 section on each slide
Slides/Package
5 slides per package
Applications
Histology stain, IHC/IF, RNA scope ISH, FISH/ISH and DNA/RNA isolation for NGS.
Storage Condition
Store at 2-8ÂşC
More Images


Product Data Sheet and Material Safety Data Sheet (MSDS) (PDF)









