Description
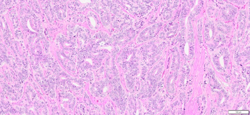
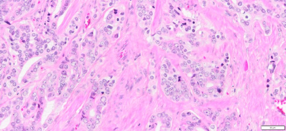
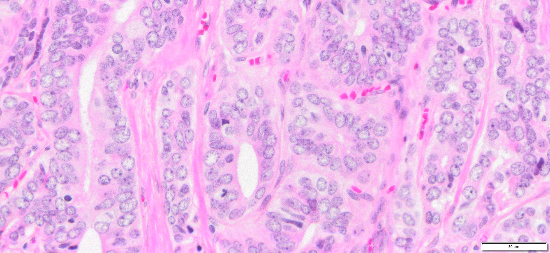
| Tissue | Pathology Diagnosis | Gender/ Age (year) | %Tumor Area | Tumor Grade | TMN/Stage | IHC data |
| Prostate | Human Prostate Adenocarcinoma, Acinar type, Gleason score 9 (4+3) | Male/53 | 55% | II | NA | NA |
Slide Preparation
Human tissue was fixed in formalin immediately after excision and embedded in paraffin. The tissue sections were 5 µm in thickness and mounted each on positively charged glass slides.
Sections/slide
1 section on each slide
Slides/Package
5 slides per package
Applications
Histology stain, IHC/IF, RNA scope ISH, FISH/ISH and DNA/RNA isolation for NGS.
Storage Condition
Store at 2-8ºC
More Images


Product Data Sheet and Material Safety Data Sheet (MSDS) (PDF)









