Description
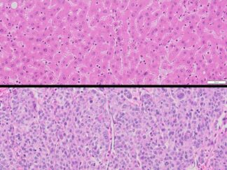
| SKU# | Organ | Pathology Diagnosis | Gender | Age | Grade | TMN | %Tumor Area | IHC Test |
| HuPS-08014T | Human Liver | Metastatic pooly differentiated adenocarcinoma from colon cancer, Benign liver tissue with mild portal fibrosis, mild portal chronic inflammation | Female | 52 | II | N/A | 50% |
Slide Preparation
Human tissue was fixed in formalin immediately after excision and embedded in paraffin. The tissue sections were 5 µm in thickness and mounted each on positively charged glass slides.
Sections/slide
1 section on each slide
Slides/Package
5 slides per package
Applications
Histology stain, IHC/IF, FISH and ISH
Storage Condition
Store at 2-8ºC
More H&E Staining Images












