Description
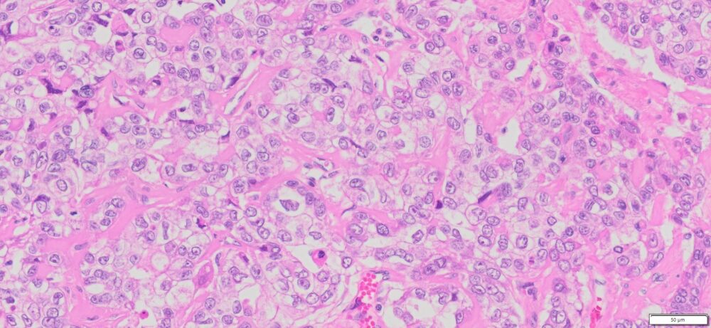
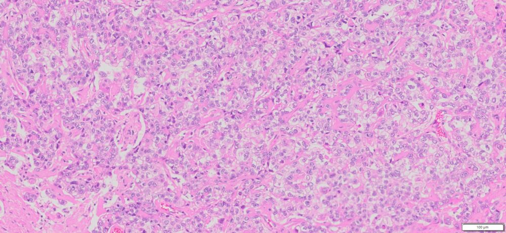
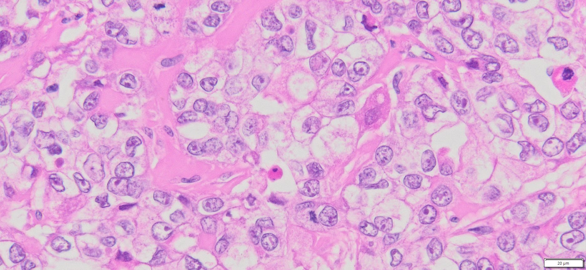
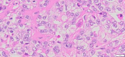
| Organ& Tissue | Pathology Diagnosis | Gender/Age | % Tumor Area | Grade | TMN Stage | IHC Biomarkers |
| Human Ovary | Ovarian clear-cell carcinoma or ovarian clear-cell adenocarcinoma | Female/67 | 80% | II | pT1aNxMx | ER(-),PR(-),Pax8 (+),WT1(-),p53(-),Ki67(70%) |
Slide Preparation
Human tissue was fixed in formalin immediately after excision and embedded in paraffin. The tissue sections were 5 µm in thickness and mounted each on positively charged glass slides.
Sections/slide
1 section on each slide
Slides/Package
5 slides per package
Applications
Histology stain, IHC/IF, FISH and ISH
Storage Condition
Store at 2-8ºC
More Images of H&E Stain and IHC


Product Data Sheet and Material Safety Data Sheet (MSDS) (PDF)









