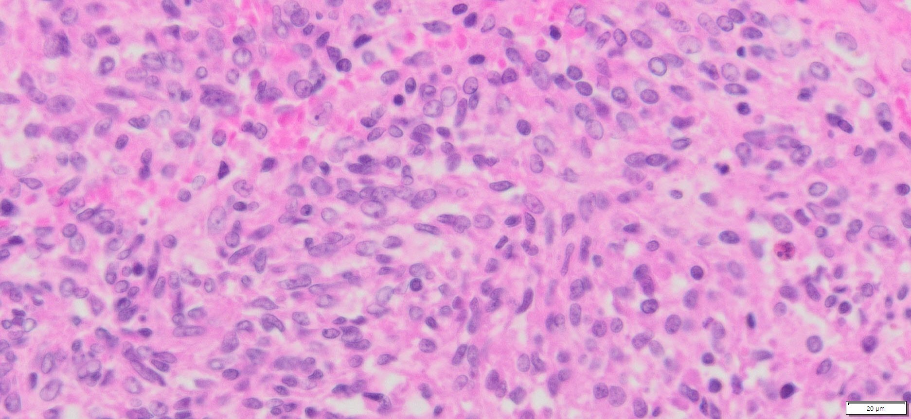
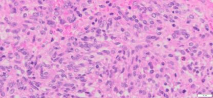
Description
| Organ& Tissue | Pathology Diagnosis | Gender/Age | % Tumor Area | Grade | TMN Stage | IHC Data |
| Human liver | Liver metastases from human gastric stromal tumor | Male/54 | 45% | II | pT4pNxpM1 | NA |
Slide Preparation
Human tissue was fixed in formalin immediately after excision and embedded in paraffin. The tissue sections were 5 µm in thickness and mounted each on positively charged glass slides.
Sections/slide
1 section on each slide
Slides/Package
5 slides per package
Applications
Histology stain, IHC/IF, FISH and ISH
Storage Condition
Store at 2-8ºC
More Images of H&E Stain and IHC


Product Data Sheet and Material Safety Data Sheet (MSDS) (PDF)









