Description
| SKU# | Organ | Pathology Diagnosis | Gender | Age | Grade | TMN | Thickness | IHC Data |
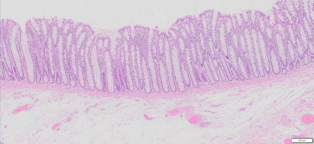
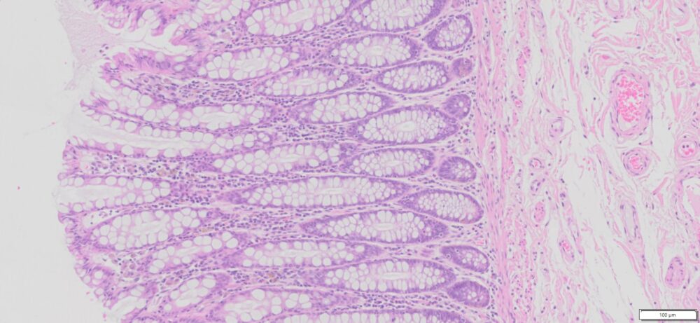
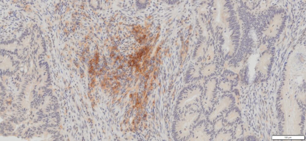
| HuPS-07004TA | Human Colon | Human colon Adenocarcinoma and adjacent normal tissue | Male | 71 | 5 μm | Ki67, PD-L1 |
Slide Preparation
Human tissue was fixed in formalin immediately after excision and embedded in paraffin. The tissue sections were 5 µm in thickness and mounted each on positively charged glass slides.
Sections/slide
1 section on each slide
Slides/Package
10 slides (5 cancer and 5 normal tissue slides)
Applications
Histology stain, IHC/IF, FISH and ISH
Storage Condition
Store at 2-8ºC
H&E and IHC Images





Product Data Sheet and Material Safety Data Sheet (MSDS) (PDF)









