Description
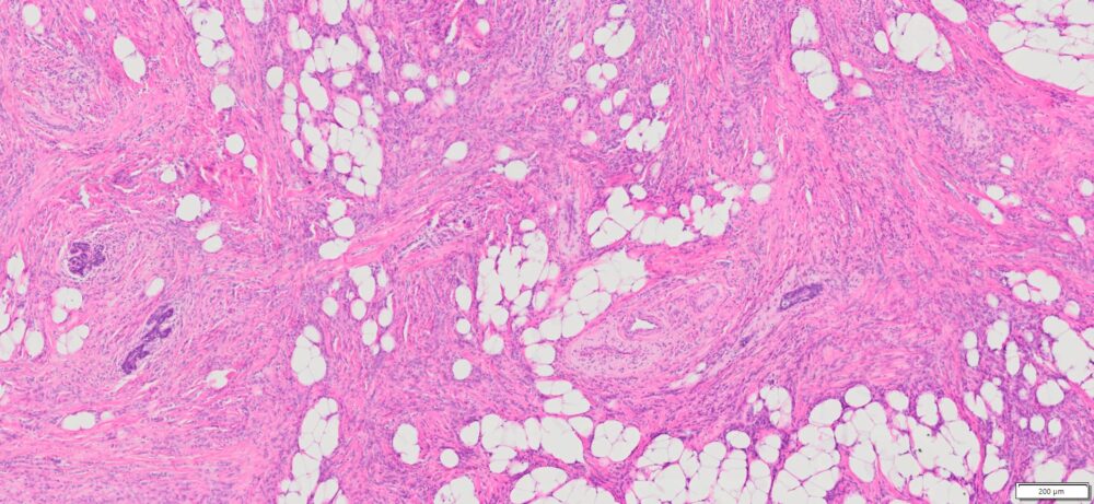
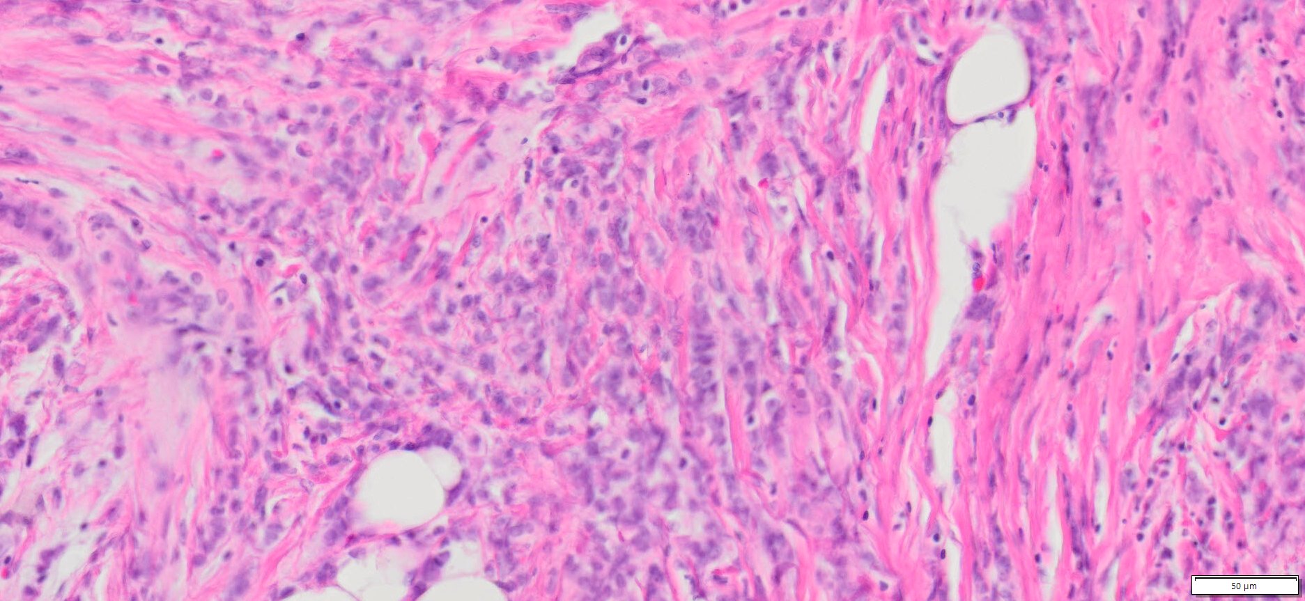
| SKU# | Organ | Pathology Diagnosis | Therapies (Chemotherapies ,radiation and Hormone) before Collection of Sample |
Gender/Age (year) | Tumor Area(%) | Tumor Grade | TMN/Stage | ER,PR & HER2 IHC Data |
| HuPS-02033T1 | Breast | Invasive lobular carcinoma | No | Female/56 | 45% | II | pT3pN2aMx | NA |
Slide Preparation
Human tissue was fixed in formalin immediately after excision and embedded in paraffin. The tissue sections were 5 µm in thickness and mounted each on positively charged glass slides.
Sections/slide
1 section on each slide
Slides/Package
5 slides per package
Applications
Histology stain, IHC/IF, RNA scope ISH, FISH/ISH and DNA/RNA isolation for NGS.
Storage Condition
Store at 2-8ºC
More Images


Product Data Sheet and Material Safety Data Sheet (MSDS) (PDF)









