Description
| SKU# | Organ | Pathology Diagnosis | Gender/Age (Year) | IHC Data |
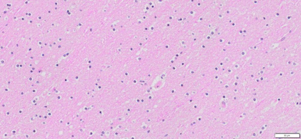
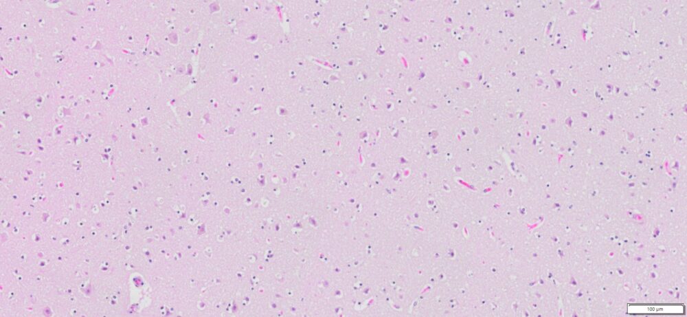
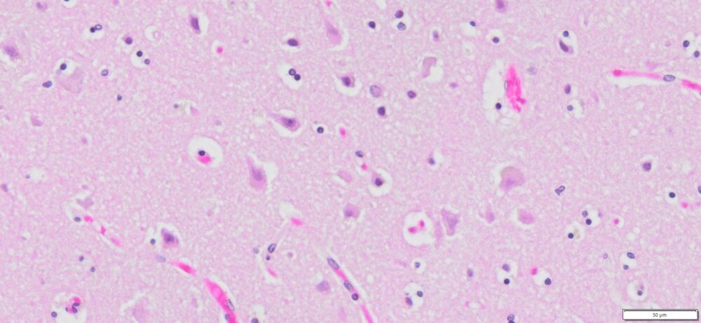
| HuPS-09002A | Brain | Normal Human Cerebral Gray and White Matter | Male/44 | NA |
Slide Preparation
Human tissue was fixed in formalin immediately after excision and embedded in paraffin. The tissue sections were 5 µm in thickness and mounted each on positively charged glass slides.
Sections/slide
1 section on each slide
Slides/Package
5 slides per package
Applications
Histology stain, IHC/IF, FISH and ISH
Storage
Store at 2-8ºC
More Images













