Description
| Tissue | Pathology Diagnosis | Gender/ Age (year) | %Tumor Area | Tumor Grade | TMN/Stage | IHC data | |
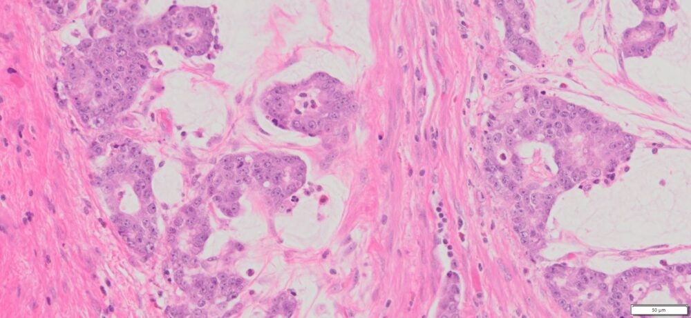
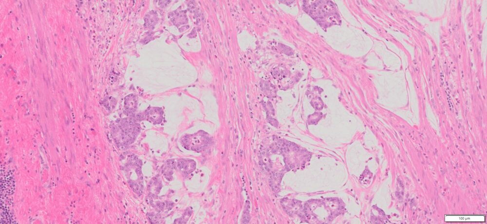
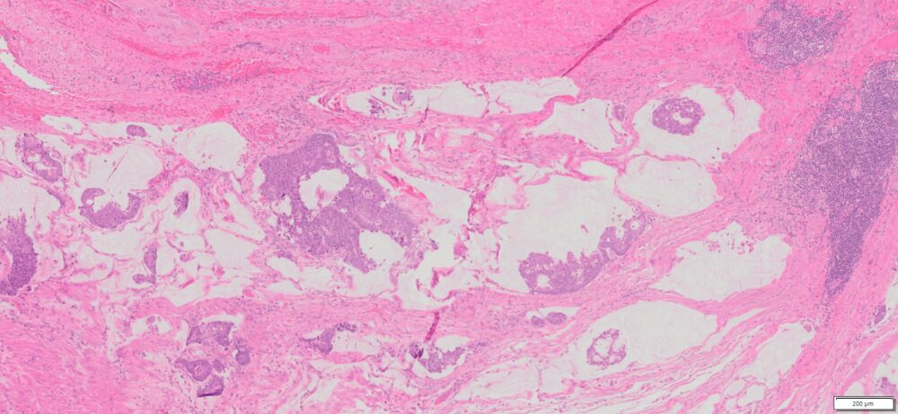
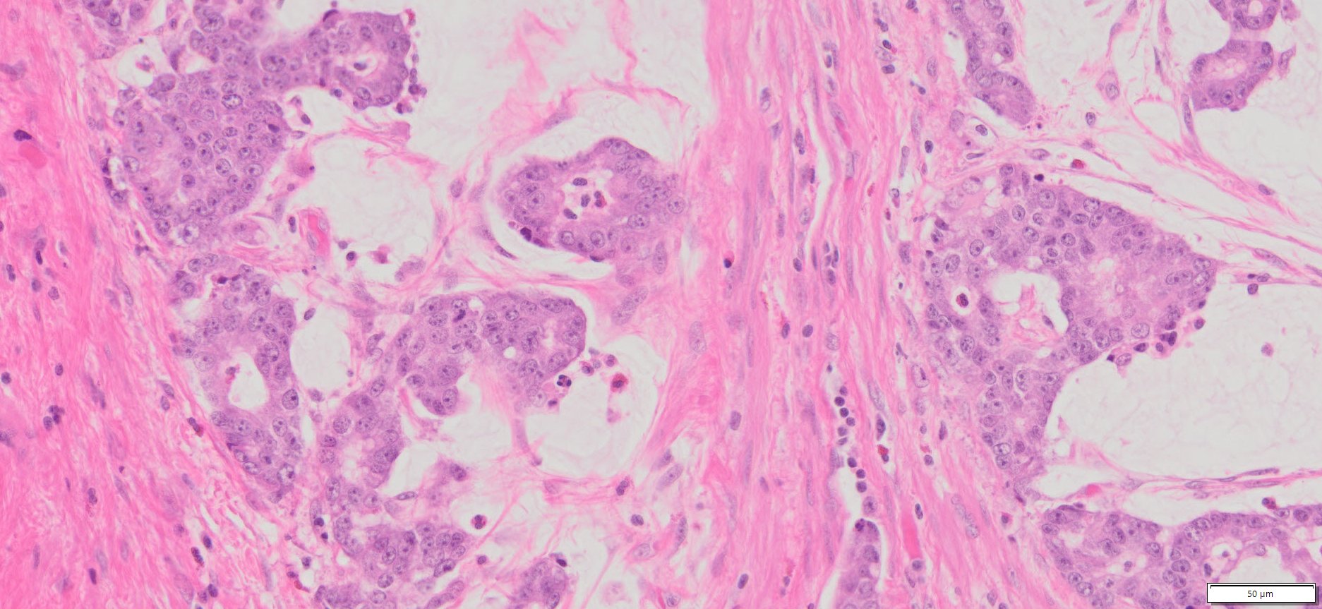
| Appendix | Human Appendix Mucinous Adenocarcinoma | Male/68 | 10% | II |
|
MLH1,2,and 6, PMS2 show intact nuclear expression |
Slide Preparation
Human tissue was fixed in formalin immediately after excision and embedded in paraffin. The tissue sections were 5 µm in thickness and mounted each on positively charged glass slides.
Sections/slide
1 section on each slide
Slides/Package
5 slides per package
Applications
Histology stain, IHC/IF, RNA scope ISH, FISH/ISH and DNA/RNA isolation for NGS.
Storage Condition
Store at 2-8ºC
More Images



Product Data Sheet and Material Safety Data Sheet (MSDS) (PDF)









