Description
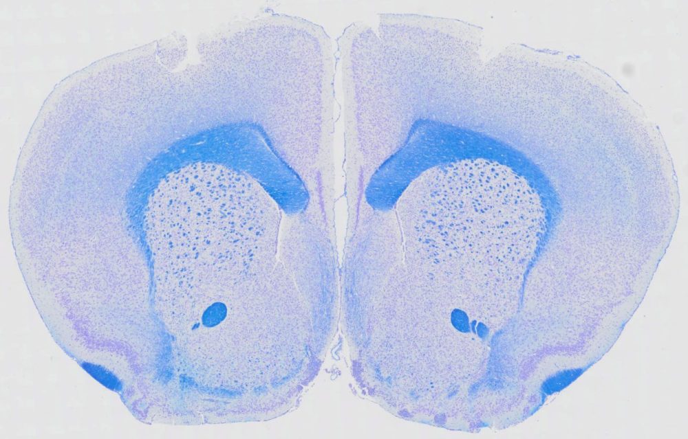
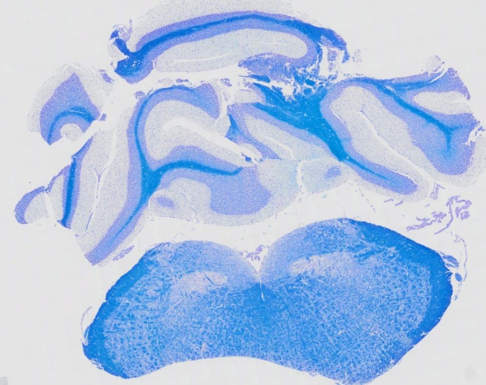
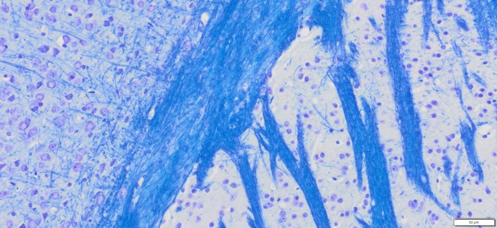
Luxol Fast Blue Stain Kit is designed for staining myelin/myelinated axons on formalin-fixed, paraffin-embedded brain and spinal cord tissue sections, as well as frozen sections. The myelin, including phospholipids, will be stained blue to green, and the neurons will be stained violet.This stain is commonly used for identifying the basic neuronal structure in brain or spinal cord tissue.
VitroView™ Luxol Fast Blue Stain Kit Video
Kit Contents
- VB-3006-1 Luxol Fast Blue Solution ————————– 250 ml
- VB-3006-2 Cresyl Violet Solution ——————————250 ml
- VB-3006-3 Lithium Carbonate Solution ——————–250 ml
Storage Condition
Room temperature.
Protocol
- Deparaffinize in Xylene I for 6 minutes and II for 6 minutes.
- Rehydrate: ethanol 100% (2 minutes)x2; ethanol 95% (2 minutes)x2.
- Deparaffinize and hydrate to 95% ethyl alcohol (Frozen/vibratome sections may need to have de-fat step: place sections directly into 1:1 alcohol/chloroform for a few hours/overnight and then hydrate back 95% ethyl alcohol).
- When deparaffinize and hydrate to 95% ethyl alcohol (Frozen/vibratome sections may need to have defat
step: place sections directly into 1:1 alcohol/chloroform for a few hours/overnight and then hydrate back 95% ethyl alcohol), leave in luxol fast blue solution in 56º C oven overnight (for frozen sections, not longer than 16 hours). - Rinse off excess stain with 95% ethyl alcohol.
- Rinse in distilled water.
- Differentiate the slides in the lithium carbonate solution for 30 seconds.
- Continue differentiation in the 70% ethyl alcohol for 30 seconds.
- Rinse in distilled water.
- Check microscopically to see if gray matter is clear and white matter sharply defined.
- Repeat the differentiation steps (step 7-9) if necessary.
- When differentiation is complete, place in distilled water.
- Counterstain in the Cresyl Violet Solution for 30-40 seconds.
- Rinse in distilled water (don’t rinse in 70% alcohol which will clear off fast blue staining).
- Differentiate the slides in 95% ethyl alcohol for 5 minutes (check microscopically).
- 100% alcohol 2×5 min. Clear with 3 changes of xylene (5 minute per change)
- Mount coverslip onto glass slide with Permount or some other suitable organic mounting medium.
Results
- Myelin, including phospholipids —————-blue to green
- Neuron —————————————————-pink to violet
Positive Controls: Brain, spinal cord.
Note: This product is intended for research purposes only. This product is not intended to be used for therapeutic or diagnostic purposes in humans or animals.
Precautions: Handle with care. Avoid contact with eyes, skin and clothing. Do not ingest. Wear gloves.
User Manual and Material Safety Data Sheet (MSDS) (PDF)
More Images














