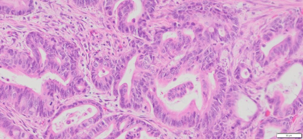
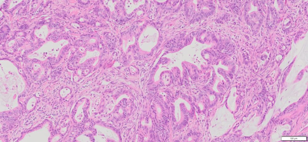
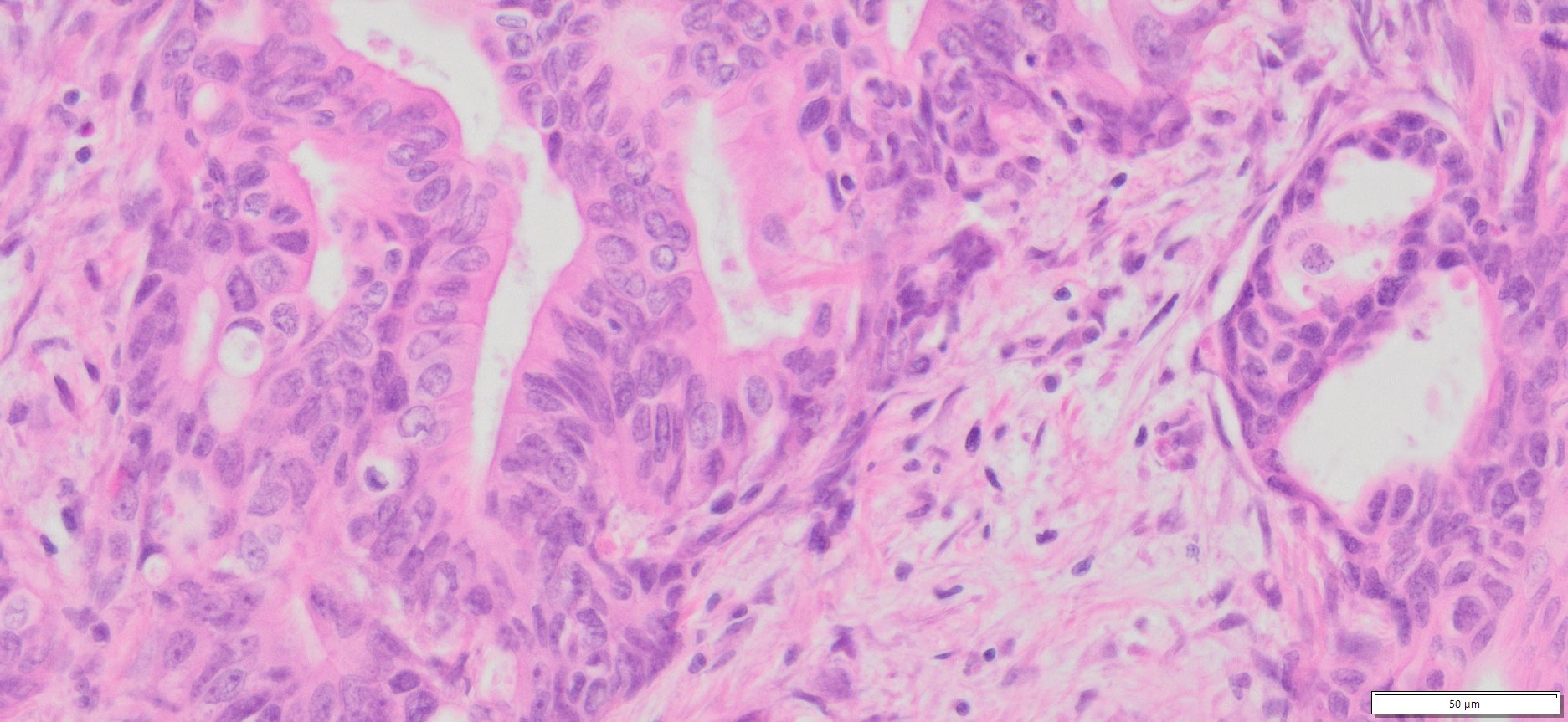
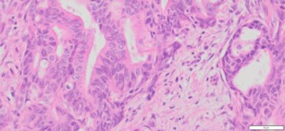
Description
| Tissue | Pathology Diagnosis | Gender/Age (year) | % Tumor area | Tumor Grade | TMN Stage | IHC Data |
| Human Colon | Colon moderately differentiated adenocarcinoma | Female/67 | 35% | II | pT4apN2pM1c | NA |
Slide Preparation
Human tissue was fixed in formalin immediately after excision and embedded in paraffin. The tissue sections were 5 µm in thickness and mounted each on positively charged glass slides.
Sections/slide
1 section on each slide
Slides/Package
5 slides per package
Applications
Histology stain, IHC/IF, FISH and ISH
Storage Condition
Store at 2-8ºC
Images for H&E Stain and IHC











