Description
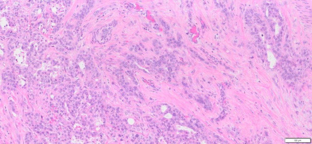
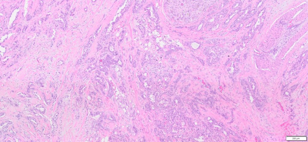
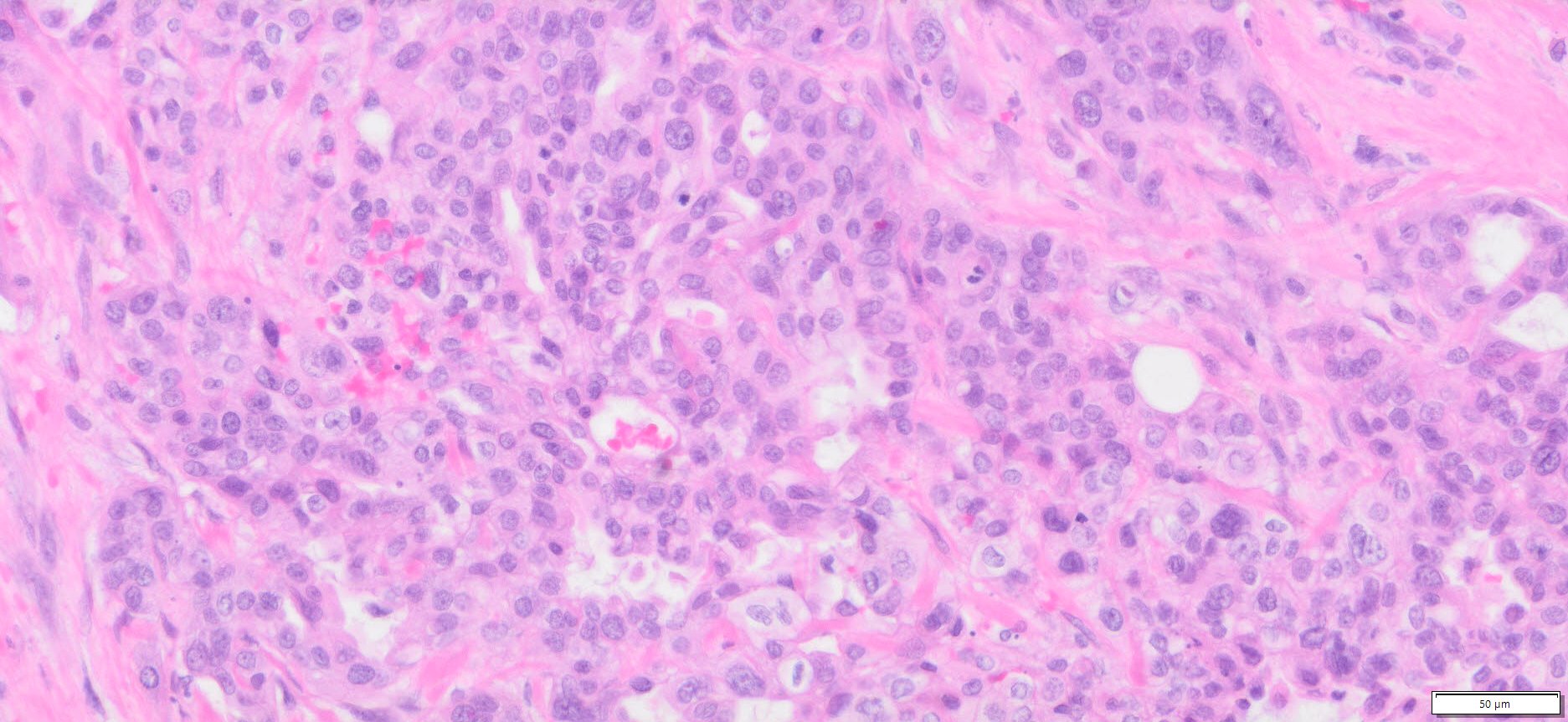
| Tissue | Pathology Diagnosis | Gender/ Age (year) | %Tumor Area | Tumor Grade | TMN/Stage | IHC data |
| Pelvic mass | Human bile duct adenocarcinoma | Female/66 | 30% | II | T3N1M0 | MLH1,2,and6, PMS2 show intact nuclear expression |
Slide Preparation
Human tissue was fixed in formalin immediately after excision and embedded in paraffin. The tissue sections were 5 µm in thickness and mounted each on positively charged glass slides.
Sections/slide
1 section on each slide
Slides/Package
5 slides per package
Applications
Histology stain, IHC/IF, RNA scope ISH, FISH/ISH and DNA/RNA isolation for NGS.
Storage Condition
Store at 2-8ºC
More Images


Product Data Sheet and Material Safety Data Sheet (MSDS) (PDF)









